ĐIỀU TRỊ SAI KHỚP CẮN VỚI MÁNG CHỈNH NHA TRONG SUỐT VÀ KHÍ CỤ FRANKEL
Điều trị sai khớp cắn loại II do xương ở tuổi vị thành niên sử dụng khay trong suốt và khí cụ Frankel
Theo bài viết của bác sĩ Nguyễn Đô- Viện răng hàm mặt Hà Nội
Quá trình điều trị:
• Khí cụ chức năng kết hợp với máng chỉnh nha trong suốt
Quá trình thực hiện ở khí cụ Frankel được thực hiện với khay trong suốt ở tình huống này.
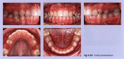
Bệnh nhân nữ 11 tuổi này có khớp cắn loại II, răng hàm trên và dưới chen chúc nhẹ, lệch đường giữa nhẹ, và cắn sâu. Răng nanh hàm trên của bệnh nhân và răng hàm nhỏ vẫn đang mọc (Hình 4-357).

Chẩn đoán:
• Khớp cắn loại II với răng chen chúc nhẹ
• Lệch đường giữa nhẹ
• Cắn sâu
Liệu pháp:
• Khí cụ Frankel
• Làm đều đồng thời với máng chỉnh nha trong suốt
Điều trị:
Điều trị máng chỉnh nha trong suốt được lên kế hoạch với việc đeo đồng thời khí cụ chức năng Frankel loại 1 (Hình 4-358).

Tấm chắn bảo vệ phía má và lưỡi làm việc theo cách giống nhau khi không có khay trong suốt. Tấm chắn lưỡi ở dưới khay trong suốt và giữ hàm dưới hướng ở vị trí phía trước để nó phát triển hướng đến loại khớp cắn loại I.
Tắm chắn môi giải phóng lực cho các cơ mặt hàm dưới và giúp xương hàm dưới phát triển về phía trước. Khí cụ Frankel được sản xuất khi được miêu tả ở chủ đề 42 nhưng khớp cắn xây dựng phục vụ điều trị được làm với khớp cắn loại I với răng nanh khi sử định khay trong suốt (Hình 4-359)

Khí cụ với khay trong suốt trên miệng cần được kiểm tra cẩn thận để đảm bảo rằng miếng đệm là phù hợp (Hình 4-360).

Nếu chúng đẩy quá mạnh hoặc dẫn đến sự không thoải mái ở má hay lưỡi, tạo hình lại và đánh bóng là cần thiết.
Sau 8 tuần kết hợp máng chỉnh nha trong suốt và khí cụ Frankel, xương hàm dưới đã thay đổi nhẹ và có sự cải thiện khớp cắn loại II vào lúc 6 tháng, có khớp cắn răng hàm loại I ở hai bên
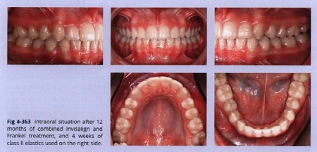
Hình 4-363 chỉ ra tình trạng sau 12 tháng khi kết hợp máng chỉnh nha trong suốt và điều trị Frankel với 4 tuần đeo chun loại II ở bên phải. Một duy trì mặt lưỡi được dính ở cung hàm dưới từ răng 33 đến 43 và bệnh nhân đeo cung hàm trên với khay trong suốt cuối trong 3 giờ vào ban ngày và đeo Frankel vào buổi tổi để duy trì trong 4 tháng.

Sau giai đoạn này, việc duy trì được thực hiện với duy trì mặt lưỡi ở cung hàm dưới và khay trong suốt được tháo lắp ở cung hàm trên vào buổi tối.
Nha sĩ hoàn toàn có thể tự làm máng chỉnh nha trong sốt từ máy in 3D MoonRay với chi phí rẻ bằng 1/5-1/6 so với trước đây==> Máy in 3D MoonRay
Gọi ngay cho chúng tôi để được tư vấn thêm: 0988.057.864
