CHỈNH NHA BẰNG KHAY TRONG SUỐT – LỆCH RĂNG CỬA HÀM DƯỚI
Việc chỉnh nha bằng khay trong suốt hiện là xu hướng cho rất nhiều bệnh nhân quan tâm tới thẩm mỹ.
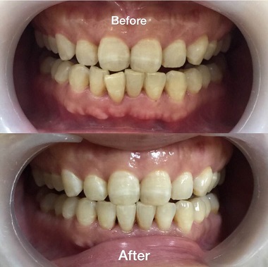
Ca chỉnh nha bằng khay trong suốt của bác sĩ Hieu Do Manh tại Nha khoa Timesmile
Bệnh nhân đến nha khoa Timesmile và than phiền lệch lạc nhóm răng cửa hàm dưới dẫn đến kém thẩm mỹ và khó vệ sinh.
Chẩn đoán : chen chúc nhóm răng cửa dưới ( do mất tương xứng về tỷ lệ kích thước răng hàm dưới so với kích thước răng hàm trên - Phân tích chỉ số Bolton).
Kế hoạch điều trị : cắt kẽ làm đều răng

Sau khi thảo luận với BN , BN không muốn đeo mắc cài vì khó vệ sinh , mất thẩm mỹ khi đeo ảnh hưởng đến giao tiếp và công việc, mất nhiều thời gian . Bác sĩ mạnh quyết định dùng khay chỉnh nha trong suốt cho bênh nhân.
Bên dưới là ảnh chụp theo dõi BN sau khi đeo các liệu trình 3, 5, 7, 9, 11; Ảnh so sánh trước và sau điều trị ( các góc độ chụp khác nhau).

Cùng hình ảnh đồ hoạ 3D mà hãng CA CLEAR ALIGNER gửi cho bác sĩ từ trước khi bắt đầu điều trị.
Kết quả điều trị : Khớp cắn, nha chu và thẩm mỹ đều tuyệt vời.

* Lưu ý: bắt buộc phải sử dụng bộ cắt kẽ chuyên dụng trong chỉnh nha để đảm bảo tiếp xúc mặt bên giữa các răng là hoàn toàn sinh lý.
Hiện tại các bác sĩ có thể giảm chi phí tới 5 lần nếu tự điều trị chỉnh nha bằng khay trong suốt với Máy in 3D nha khoa
Với ngang với cách chỉnh nha thông thường, sẽ có rất nhiều bệnh nhân muốn điều trị theo cách này.
Gọi ngay cho chúng tôi để được tư vấn tốt nhất: 0988057864
