ĐIỀU TRỊ LIÊN NGÀNH: KHAY TRONG SUỐT, PHỤC HÌNH, IMPLANT
Điều trị liên ngành: Khay chỉnh nha trong suốt, nha chu, phục hình, implant.
(Theo bài viết của bác sĩ Nguyễn Đô – Viện răng hàm mặt)
Bệnh viêm quanh răng liên quan với sự tiêu xương, sự mất răng và những khoảng trống răng
Quá trình điều trị:
• Điều trị quanh răng
• Điều trị bằng khay trong suốt
• Cấy ghép imlant
• Phục hình răng
Thỉnh thoảng việc điều trị được yêu cầu ở những bệnh nhân bị tiêu xương. Chúng ta thấy rằng những lực nhỏ và gián đoạn là cách tốt nhất để điều trị cho những bệnh nhân này, đó là lí do tại sao máng chỉnh nha trong suốt là thích hợp nhất.
Lực có thể được giảm bởi tăng số lượng khay trong suốt và làm chậm lại các bước. Khi bệnh nhân sử dụng khay trong suốt ngoại trừ lúc ăn và đánh răng, hệ thống máng chỉnh nha trong suốt luôn luôn là hệ thống lực gián đoạn.
Trong suốt khoảng thời gian không đeo khay trong suốt, lưu lượng máu sẽ đươc tuần hoàn tốt hơn ở dây chằng quanh răng và do đó nguy cơ tiêu chân răng là thấp nhất.
Một ưu điểm lớn của máng chỉnh nha trong suốt là cơ hội để vệ sinh răng miệng tại phòng khám mà không cần loại bỏ dây cung hay ligature, mà tiêu tốn thời gian và gây khó chịu cho bệnh nhân.
Những bệnh nhân có thể đến các nha sĩ quanh răng bất cứ khi nào cần được điều trị mà không cần hẹn trước với nha sĩ chỉnh nha để lắp lại khí cụ sau khi thực hiện vệ sinh răng miệng
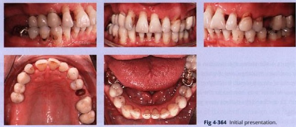
Người đàn ông lớn tuổi này có tình trạng xương bị tiêu với răng trồi và những khoảng ở cả hai cung (hình 4-364).

Bệnh nhân có những dấu hiệu của CMD với lệch vị trí đĩa về phía trước mà không trở lại vị trí và đau đầu.
Chẩn đoán:
• CMD với sự dịch chuyển đĩa về phía trước mà không trở lại vị trí trước đó
• Đau đầu
• Viêm quanh răng
• Cắn sâu và mất sự hỗ trợ phía sau ở tương quan tâm
• Răng chen chúc
Liệu pháp:
• Điều trị với máng chỉnh nha trong suốt
• Cấy ghép imlant
• Phục hình răng
Điều trị:
Chẩn đoán hình ảnh khi kết thúc điều trị quanh răng đã chỉ ra sự tiêu xương nghiêm trọng, nhưng là một tình trạng ổn định trên lâm sàng (hình 4-365).

Tái khám quanh răng 3 tháng một lần trong điều trị chỉnh nha.
Mô quanh răng được ổn định cả trước và sau điều trị với máng chỉnh nha trong suốt (Hình 4-366).

Điều trị chỉnh nha bao gồm đánh lún vùng răng cửa ở hàm trên và dưới với sự đóng khoảng. Cắn chéo ở răng phía sau bên phải được lên kế hoạch để được duy trì.

Máng chỉnh nha trong suốt được làm dễ dàng từ máy in 3D nha khoa với giá rẻ.

Chỉ cần nắm được cách sử dụng phần mềm 3D nha khoa, các bác sĩ hoàn toàn có thể tự sử dụng Máy in 3D nha khoa MoonRay
Các nha sĩ sẽ không cần phải chuyển file, chờ đợi và mất thời gian trao đổi với nhiều bên khi thực hiện quá trình điều trị cho bệnh nhân.
Hotline: 0988057864
