ĐIỀU TRỊ SAI KHỚP CẮN LOẠI II VỚI KHAY CHỈNH NHA TRONG SUỐT
Điều trị chỉnh nha khay trong suốt sai khớp cắn loại II với nhổ răng hàm nhỏ thứ hai có kết hợp mắc cài phân đoạn.
(Theo bài viết của bác sĩ Nguyễn Đô – Viện Răng Hàm Mặt)
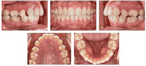
Một bệnh nhân nữ 17 tuổi có sai khớp cắn loại II với sự nhô ra của hàm trên và hàm dưới và chen chúc nhẹ (Hình 13-16a đến 13-16j).

Hồ sơ trước xử lý. Bệnh nhân có một sai khớp cắn loại II với hàm trên và hàm dưới nhô trước và chen chúc ít
Tất cả các răng hàm nhỏ thứ hai được nhổ 10 đến 14 ngày trước khi lắp khay trong suốt, và các khoảng nhổ răng được đóng lại thông qua kéo đối ứng.
Các attachment hình chữ nhật dọc được đặt trên các răng hàm nhỏ thứ nhất và các răng hàm lớn thứ nhất và thứ hai để kiểm soát chân răng. Attachment tối ưu kiểm soát chân răng đã được đặt trên răng nanh. Chun loại II được sử dụng theo nguyên tắc anchorage liên hàm
Tại tháng 14 trên giao thức thay đổi khay 2 tuần một lần, khoảng nhổ răng đã được đóng (Hình 13-16k đến 13-16o).

Hồ sơ tiến độ tại tháng 14 với khoảng nhổ răng được đóng lại. Một số tipping phía gần của răng hàm lớn thứ nhất được thấy. (p) Tiến hành chụp phim toàn cảnh panorama cho thấy các răng hàm lớn thứ nhất đã tipping về phía gần vào vị trí nhổ răng.
Tuy nhiên, chụp ảnh toàn cảnh panorama tại thời điểm đó cho thấy tất cả các răng hàm lớn thứ nhất đã tipping về phía gần vào khoảng nhổ răng .

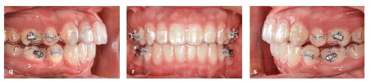
Hình 13-16 (q đến s) Mắc cài phân đoạn được gắn để quản lý nghiêng chân răng vào vị trí nhổ răng.

Do đó, mắc cài phân đoạn được đặt trên các răng hàm nhỏ thứ nhất và các răng hàm lớn thứ nhất để dựng thẳng và làm song song các chân răng tại vị trí nhổ răng. Một cửa sổ được cắt trên khay trong suốt để chứa mắc cài (Hình 13-16q to 13-16s).

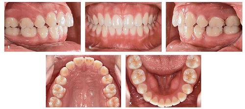
Bệnh nhân tiếp tục thay đổi khay trong suốt khi điều trị tiếp tục. Tại tháng 19, đeo khay được hoàn thành. Tất cả các mắc cài và attachment được gỡ bỏ, và khay bổ sung được đeo để điều chỉnh chi tiết và hoàn thiện (Hình 13-16t đến 13-16x).
Hồ sơ cuối cùng. (hh và ii) So sánh các phim cephalometric trước và sau điều trị. Lưu ý sự kéo ra sau của răng cửa và cải thiện độ nghiêng răng cửa.

Cả hai cung răng đều được làm đều tốt với khoảng nhổ răng đã đóng và khớp cắn hoàn thành trong mối tương quan loại I với cắn phủ, cắn chìa bình thường. Chụp phim toàn cảnh panorama cho thấy các chân răng song song trên vị trí nhổ răng.
Bác sĩ đã hoàn thành quá trình điều trị hoàn hảo với khay chỉnh nha trong suốt từ Máy in 3D nha khoa MoonRay kết hợp mắc cài.
Cách điều trị này làm giảm ảnh hưởng tới răng và giúp cho bênh nhân dễ dàng vệ sinh, bảo vệ răng.
Các phòng khám nha khoa và các Nha sĩ hoàn toàn có thể làm chủ công nghệ 3D với máy in 3D để in các máng chỉnh nha trong suôt mà không phụ thuộc vào các bên cung cấp.
Chi phí cho mỗi ca chỉnh nha giảm rất nhiều, đồng thời tiết kiệm thời gian, công sức cho bác sĩ và bệnh nhân.
Vui lòng liên hệ hotline: 0988057864 để được tư vấn thêm
