DỊCH VỤ IN MÔ HÌNH 3D DÙNG TRONG PHẪU THUẬT THẨM MỸ
Phẫu thuật thẩm mỹ về hàm mặt gây ảnh hưởng can thiệp nhiều đến xương, đây là một trong những phương pháp thẩm mỹ có thể gây
biến chứng nặng nề nhất nếu không được đảm bảo an toàn nghiêm ngặt.
Tham khảo:Phần mềm phẫu thuật chỉnh hình 3D
Trước đây, các bác sĩ lên phương án phẫu thuật dựa trên phim chụp từ máy Ct cone beam.
Hình ảnh trên phim có những chỗ khuất, mờ,... nên khi phẫu thuật không chính xác.
Công nghệ 3D đảm bảo chính xác trong quá trình phẫu thuật, đây là công nghệ tiên tiến nhất đảm bảo về độ an toàn
cũng như thành công của ca phẫu thuật thẩm mỹ về hàm mặt.
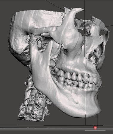
Phần mềm 3D giúp bác sĩ nhìn thấy chính xác các dị tật của bệnh nhân ở các góc độ khác nhau.
Bác sĩ có thể lên kế hoạch phẫu thuật, đo đạc, cắt, thao tác trên mô hình in 3D xương của bệnh nhân với độ chính xác gần như tuyệt đối.
Thời gian của các ca phẫu thuật trong có thể giảm xuống hơn một nửa, đồng thời bệnh nhân có thể phục hồi nhanh chóng hơn rất nhiều.
Tham khảo : Phần mềm 2D MediCAD trong phẫu thuật khớp háng
Vui lòng gọi hotline : 0988057864 để được tư vấn tốt nhất
NewsNew
