PHẦN MỀM MEDICAD 2D - MÔ ĐUN “FOOT” HỖ TRỢ PHẪU THUẬT CHỈNH HÌNH BÀN CHÂN
Mô-đun "Foot" tạo điều kiện cho việc lập kế hoạch tối ưu, cũng như như xác định kích thước và vị trí của dụng cụ kết hợp xương cho bàn chân, mắt cá chân và ngón chân. Nó có thể xác định trước kích thước của các góc của bàn chân trước, chẳng hạn như đối với bàn chân vòm và bàn chân bẹt.
Tham khảo: Phần mềm phẫu thuật chân 3D
Tham khảo: Phần mềm phẫu thuật chân 3D
1. Chuẩn đoán bệnh lý khớp cổ chân - Ankle joint
Chức năng này cho phép phát hiện bệnh lý tại khớp cổ chân. Tất cả các tùy chọn đo lường từng phần cũng như các lựa chọn của implant đều có sẵn.
Chức năng này tự động tính toán các góc độ liên quan để phân tích tình hình trước khi phẫu thuật. Kết quả sau phẫu thuật có thể được mô phỏng bất cứ lúc nào.

2. Xem xét tình trạng vẹo ngoài của ngón cái - Hallux Valgus
Hallux valgus là một cấu trúc bất thường ngón chân cái vẹo vào trong phía các ngón chân khác. Theo thời gian, cảm giác đau ở ngón chân từ từ tăng lên và khối u xương ở cạnh ngón chân hiện rõ. Nó ảnh hưởng lớn đến cuộc sống hàng ngày của chúng ta.

+ Phần mềm MediCAD đưa ra hình ảnh đa chiều, phân tích trước mổ thông qua tính toán tự động tất cả các góc độ có liên quan
+ Kết quả sau phẫu thuật có thể được mô phỏng dựa trên thông số bệnh nhân dễ dàng. Dữ liệu có sẵn của phần mềm cho phép các tùy chọn đo kích thước được cá thể hóa và nhiều implant có sẵn để lựa chọn.
Hallux valgus là một cấu trúc bất thường ngón chân cái vẹo vào trong phía các ngón chân khác. Theo thời gian, cảm giác đau ở ngón chân từ từ tăng lên và khối u xương ở cạnh ngón chân hiện rõ. Nó ảnh hưởng lớn đến cuộc sống hàng ngày của chúng ta.

+ Phần mềm MediCAD đưa ra hình ảnh đa chiều, phân tích trước mổ thông qua tính toán tự động tất cả các góc độ có liên quan
+ Kết quả sau phẫu thuật có thể được mô phỏng dựa trên thông số bệnh nhân dễ dàng. Dữ liệu có sẵn của phần mềm cho phép các tùy chọn đo kích thước được cá thể hóa và nhiều implant có sẵn để lựa chọn.
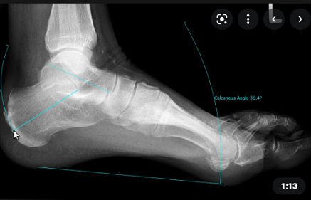
3. Bàn chân bẹt
Chức năng "Flatfoot" cho phép đo kích thước chẳng hạn như góc xương gót, sên - bàn hoặc sên – gót chân.
Các thông số này có thể được dùng để đưa ra đánh giá bổ sung về tình trạng bệnh lý.

Hai nguyên nhân cơ xương khớp thường gặp nhất gây đau vùng này là bệnh lý khớp chày sên và khớp gót sên, ví dụ như thoái hóa khớp. Ngoài ra, đau bàn chân có thể do bệnh lý thần kinh. Các dây thần kinh ngoại vi của bàn chân có thể bị tổn thương hoặc bị kẹt, điều này có thể gây đau tại các vùng chi phối thần kinh cụ thể.
Chức năng "Flatfoot" cho phép đo kích thước chẳng hạn như góc xương gót, sên - bàn hoặc sên – gót chân.
Các thông số này có thể được dùng để đưa ra đánh giá bổ sung về tình trạng bệnh lý.

Hai nguyên nhân cơ xương khớp thường gặp nhất gây đau vùng này là bệnh lý khớp chày sên và khớp gót sên, ví dụ như thoái hóa khớp. Ngoài ra, đau bàn chân có thể do bệnh lý thần kinh. Các dây thần kinh ngoại vi của bàn chân có thể bị tổn thương hoặc bị kẹt, điều này có thể gây đau tại các vùng chi phối thần kinh cụ thể.
4. Tình trạng mất vững khớp cổ chân
Chỉ trong vài lần nhấp chuột, mediCAD® đưa ra cho bác sỹ cái nhìn tổng quan chính xác về độ vững của cổ chân thông qua các phim chụp xương chịu trọng lực.

Dấu hiệu mất vững khớp cổ chân thường xảy ra sau khi trật khớp, đặc biệt trật khớp phía .Bệnh nhân cần được điều trị các tổn thương dây chằng vùng khớp cổ chân.
Với phần mềm MediCAD, các bác sĩ dễ dàng đưa ra phương án điều trị và phẫu thuật 3D nhanh chóng, chính xác,
Tham khảo: Phần mềm chấn thương chỉnh hình khớp háng 3D
Vui lòng liên hệ hotline 0988.057.864 để được tư vấn tốt nhất

Dấu hiệu mất vững khớp cổ chân thường xảy ra sau khi trật khớp, đặc biệt trật khớp phía .Bệnh nhân cần được điều trị các tổn thương dây chằng vùng khớp cổ chân.
Với phần mềm MediCAD, các bác sĩ dễ dàng đưa ra phương án điều trị và phẫu thuật 3D nhanh chóng, chính xác,
Tham khảo: Phần mềm chấn thương chỉnh hình khớp háng 3D
Vui lòng liên hệ hotline 0988.057.864 để được tư vấn tốt nhất
NewsNew
• MÁY IN 3D FORMLABS 3B
• PHẦN MỀM PHẪU THUẬT CHẤN THƯƠNG CHỈNH HÌNH CỘT SỐNG 3D (Phần 2)
• PHẦN MỀM CHẤN THƯƠNG CHỈNH HÌNH CỘT SỐNG 3D (Phần 1)
• MÁY IN 3D SPRINTRAY PRO 95
• PHẦN MỀM PHẪU THUẬT CHẤN THƯƠNG CHỈNH HÌNH BÀN TAY 3D
NewsOld
